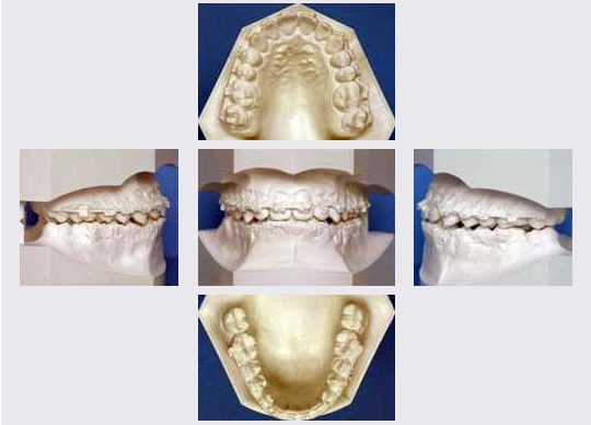
Kombinierte kieferorthopädische, kieferchirurgische Behandlung

Es gibt Zahn- und Kieferfehlstellungen, die erst am Ende des Körperwachstums behandelt werden können. Hierzu gehört beispielsweise die Progenie (durch ungünstiges Wachstum zu großer Unterkiefer). Die Behandlung einer solchen Fehlstellung erfolgt in drei Schritten:
  1. separate optimale Ausformung der Zahnreihen des Ober- und Unterkiefers mittels fester Zahnspange
  2. Chirurgische Korrektur der Lage der Kiefer zueinander
  3. Feineinstellung der Zahnkontakte (Okklusion) mittels fester Zahnspange


 

Patient mit fester Zahnspange und erfolgter chirurgischer Kieferverlagerung



Anschrift

Dr. med. dent. Carolin Röder
Arnoldstr. 9a - 99734 Nordhausen

Tel.: 03631 / 98 39 14
Fax: 03631 / 47 70 88
info@kfo-nordhausen.de

Sprechzeiten

Mo, Di    8.30-11.30 und 13.30-18.00
Mi, Do    8.30-11.30 und 13.30-17.00
Fr            8.30-10.00
und nach Vereinbarung